CARACTERÍSTICAS GENERALES
-Afecta mayormente a varones
-Neoplasia epitelial mas frecuente de hígado.
-Por lo general se asocia a una enfermedad hepática crónica, por ejemplo la “cirrosis”
-La mediana de supervivencia desde el momento del diagnóstico es generalmente de 6 meses. La duración de la supervivencia depende en gran medida el grado de cirrosis en el hígado, los pacientes cirróticos tienen tiempos de supervivencia más corto y más limitadas las opciones terapéuticas, la oclusión de la vena porta, que ocurre comúnmente, augura una supervivencia aún más corto.
- Las complicaciones de carcinoma hepatocelular son los de la insuficiencia hepática, se produce la muerte de la caquexia, la hemorragia por várices, o (raramente) la ruptura del tumor y hemorragia en el peritoneo.
Òfactores etiológicos mas frecuentes
- Cirrosis
- Abuso de alcohol
- Hemocromatosis
- Exposición a toxinas
- Hepatitis B y C.
- Anticonceptivos orales
ANATOMIA PATOLOGICA
-Aspecto macroscópico: existen tres formas de carcinoma hepatocelular diferenciados por su crecimiento:
-- Expansivo
-- Infiltrativo
-- Multifocal
Aspecto macroscópico
- Expansivo
El carcinoma de tipo expansivo posee una seudocápsula formada por la trama de reticulina peritumoral, que permite una distinción nítida entre el tumor y el parénquima próximo. A medida que el tumor progresa se pueden detectar pequeños nódulos satélites cercanos al nódulo inicial.
-Infiltrativo
En el tipo infiltrativo los márgenes del tumor son más indefinidos y los nódulos de regeneración de la hepatopatía subyacente son sustituidos progresivamente por parénquima tumoral.
-Multifocal.
los tumores multifocales se caracterizan por la presencia de múltiples nódulos neoplásicos de tamaño similar distribuidos por todo el hígado,
lo
que apoyaría su origen multicentrico
ANATOMIA PATOLÓGICA
Aspecto microscópico:
-Habitualmente está formado por células de características similares a los hepatocitos normales, pero con grados variables de anaplasia o de pleomorfismo.
-Por lo general, las células conservan su aspecto poliédrico y su citoplasma eosinófilo granular, pero presentan una disminución de la relación citoplasma núcleo, debido a que este último es grande, oval y con nucléolo prominente. Las células pueden contener bilis, grasa, glucógeno o hialina de Mallory.
-En ocasiones las células presentan un citoplasma claro.
DIAGNOSTICOS DIFERENCIALES
-Colangiocarcinoma
-Cirrosis
-Adenoma hepatocelular
-Nódulos displásicos en la cirrosis
-Hiperplasia nodular fibrosa
-La enfermedad metastásica
-Linfoma hepático primario
ÒCriterios de estadificación TNM para el carcinoma hepatocelular
-T1 - Tumor solitario sin invasión vascular
-T2 - Tumor solitario con invasión vascular o tumores múltiples no más de 5 cm de
-T3 - Múltiples tumores de más de 5 cm o tumor que involucra una importante rama de la vena porta o hepática (s)
-T4 - El tumor (s) con invasión directa de órganos adyacentes que no sean de la vesícula biliar o con perforación del -peritoneo visceral
-N0 - Indica que no hay afectación ganglionar
-N1 - Indica afectación ganglionar regional
-M0 - Indica que no hay metástasis a distancia
-M1 - Indica la presencia de metástasis más allá del hígado
Agrupación de los estadios
-Etapa I = T1 + N0 + M0
-Etapa II = T2 + N0 + M0
-Etapa IIIA = T3 + N0 + M0
-Etapa IIIB = T4 + N0 + M0
-Etapa IIIC = T4 + N1 + M0
-Estadio IVB = T4 + N1 + M1
Hallazgos radiologicos
ÒEn la radiografia simple de abdomen el carcinoma hepatocelular aparece puede aparecer, si es de gran tamaño, como una masa inespecifica, de tamaño variable, en el abdomen superior.
ÒNo suele presentar calcificaciones.
ÒDesde el punto de vista ecografico, suele verse como una masa hipoecoica, mediante la ecografia, aun cuando en el 25% de los casos el tumor es ecogenico, se cree que esto depende de cambios grasos o de una marcada dilatación sinusoidal.
Ò pueden detectarse, lesiones de pequeño tamaño
ÒLa TC muestra una masa con menor valor de atenuacion que el parenquima circundante.
ÒA veces el tumor se presenta con una densidad similar al higado normal, en estos casos su detección depende de los cambios en el contorno hepático y de otros signos secundarios.
ÒLa lesion tiene con frecuencia areas centrales con menor valor de atenuación.
ÒUna de las características de los hepatocarcinomas es en general el tener una vascularización arterial exclusiva (tumor hipervascular). Luego de la inyección con el medio de contraste, durante la fase arterial pura, los tumores hipervasculares se resaltan más que el hígado normal, que está vascularizado principalmente por vía portal.
ÒLos tumores hipervasculares aparecen hiperdensos en esta fase ar
terial.
Ò La RM puede detectar lesiones más pequeñas y también se puede utilizar para determinar el flujo en la vena porta. Sin embargo, en pacientes con hígados cirróticos nodular, la RM se ha demostrado tener una mejor sensibilidad y especificidad. Alto costo y acceso restringido a las imágenes por resonancia magnética hace que su uso generalizado sea limitado.
ÒEn la RM el tumor tiene un aspecto variable. Las zonas esteatosicas producen una alta densidad de señal en T1 mientras que si predomina la fibrosis la intensidad de señal sera baja. La tecnica adecuada es muy adecuada para evaluar la posible invasion de las estrcuturas vasculares hepaticas y prehepaticas.
ÒLa forma encapsulada del hepatocarcinoma a menudo presenta un anillo de baja señal en las imágenes pondera
das en T1 que presenta la capsula fibrosa tu
moral.
ÒEn las imágenes ponderadas en T2 la capsula aparece como una doble hoja con el componente interno de baja señal y el externo de elevada señal.
Òcarcinoma hepático, carcinoma hepatocelular multifocal (HCC) en una extensión de 80 años de edad
Hepatocarcinoma pequeño. En T1 (a) es levemente hipointenso y en T2 (b) levemente hiperintenso. Se diferencia del nódulo de regeneración y del nódulo displástico por cuanto en fase arterial (c) aumenta intensamente su señal y en
el control tardío (d) se hace hipodenso con una cápsula hiperintensa.
ÒHepatocarcinoma. En T1 (a) masa levemente hipointensa con una cápsula hipointensa. En T2 (b) es levemente hiperintenso. En fase arterial (c) del estudio contrastado es levemente hiperintenso. En control tardío (d) se hace muy hipointenso respecto del parénquima vecino.
CARCINOMA FIBROLAMELAR
-tumor maligno de origen, desconocido y crecimiento lento que se presenta en adultos jovenes
-Macroscopicamente es una masa unica, a veces pedunculada, que puede tener calcificaciones distroficas y a menudo presenta una cicatriz fibrosa con tabiques fibrosos multiples.
- El tumor esta bien delimitado del parenquima hepatico circundante y puede haber nódulos satélites, rara vez se presenta hemorragias o necrosis.
CARCINOMA FIBROLAMELAR
- histológicamente los hepatocitos eosinófilos malignos están separados en cordones por múltiples estrías fibrosas.
-Los cuerpos de inclusión característicos del carcinoma hep
atocelular no se encuentran en el carcinoma fibrolamelar.
- Los niveles sericos de la alfafetoproteina son normales.
FISIOPATOLOGÍA
La forma más típica de carcinoma hepatocelular se asocia a menudo con la inflamación hepática activa, hepatitis B o la infección viral, el alcohol enfermedad hepática relacionada, el hígado graso no alcohólico (HGNA), la cirrosis por cualquier otra causa, o la aflatoxina B1 dieta.En contraste, la etiología del carcinoma fibrolamelar sigue siendo incierto. Normalmente se produce en ausencia de inflamación o la fibrosis hepática subyacente, y ninguna lesión precursora histológica con el carcinoma fibrolamelar ha sido identificado.
Poco se sabe acerca de la patogénesis molecular del carcinoma fibrolamelar. El carcinoma fibrolamelar presenta menor número de alteraciones cromosómicas que el carcinoma hepatocelular típico, pero las ganancias frecuente de los cromosomas 1q se han observado (como en el carcinoma hepatocelular típico). sobre-expresión de genes en el RAS, MAPK, PIK3, y vías de degradación de xenobióticos se ha reportado en el carcinoma fibrolamelar .
ÒCarcinoma fibrolamelar ha informado de que se produzca en asociación con hiperplasia nodular focal (HNF),un tipo de lesión hepática benigna, y ambas enfermedades tienden a presentarse en pacientes jóvenes y en la determinación del parénquima hepático normal. Además, el carcinoma fibrolamelar y la hiperplasia nodular focal comparten va
rias características, como una cicatriz central estrellada en estudios de imagen y la acumulación de cobre en el examen histológico, que han llevado a algunos a sugerir que la hiperplasia nodular focal puede ser una lesión precursora benigno a carcinoma fibrolamelar. Sin embargo, una relación etiológica aún no se ha demostrado y no es ampliamente aceptada.
Ò
ÒDiagnostico diferencial
-Hemangioma, adenoma hepatocelular, carcinoma hepatocelular
Todos los tumores hepáticos que pueden demostrar una cicatriz son los siguientes: -La hiperplasia nodular focal (HNF) -Adenoma hepatocelular -El carcinoma hepatocelular (CHC) -Colangiocarcinoma intrahepático (CPI) -Hemangioma gigante -Metástasis hepática
Radiografía
No hay hallazgos totalmente significativos.
Este tumor se presenta como una masa solitaria en un hígado que aparece con calcificaciones en su interior.
El carcinoma fibrolamelar puede ser bastante grande, y una cicatriz central visible se observa en 20-60% de los casos.
EL ESTUDIO DE IMAGEN DE ELECCION ES LA TAC
ÒCarcinoma fibrolamelar generalmente aparece como una masa hipodensa, bien definida. Como una forma dinámica la TC se utiliza con fase arterial y venosa portal de contraste de fase, la porción celular y mejora destacada que es heterogéneo, en consonancia con sus características vasculares.
ÒLa cicatriz central, como se muestra con menor valor de atenuacion que puede calcificarse, tras la administración de contraste endovenoso la lesion experimenta una acusada intensificacion en su valor de atenuación. Tenga en cuenta que la cicatriz fibrosa en el carcinoma fibrolamelar, cuando están presente, por lo general no mejora.
ÉLas calcificaciones están presentes en 33-55% de los carcinomas fibrolamelar y suelen estar situados dentro de la cicatriz central, pero con menos frecuencia puede estar situado en la periferia del tumor.
ÉEn ocasiones el tumor se muestra en forma de lesiones multiples, patron que se correlaciona con la forma multifocal del carcinoma fibrolamelar o con la existencia de nodulos satelites.
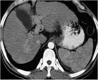
Ò TC que muestra un carcinoma fibrolamelar con una gran cicatriz central estrellada
TC de abdomen y pelvis con presencia de una lesión hepática sólida de 7 x 5 cm, con refuerzo periférico y calcificación central en los segmentos posteriores del lóbulo derecho, asociada a una lesión satélite de 12 mm, de características similares y linfonodos de aspecto patológico en el hilio hepático, sugerente de un carcinoma hepatocelular variedad fibrolamelar
ÉEn la RM el tumor aparece como una masa bien definida que puede contener una cicatriz central.
ÉEn la imágenes ponderadas en T1 la lesion es isointensa respecto al parenquima hepatico normal. En las imagenes ponderadas en T2 suelen tambien ser isointensas. La cicatriz fibrosa central cuando existe, es hipointensa tanto en las imágenes ponderadas en T1 como en T2 debido a su naturaleza fibrosa. Este criterio es util para diferenciar este proceso de la hiperplasia nodular focal, en la que la que la cicatriz central es hiperintensa en las imágenes ponderadas en T2.
ÒRM ponderada en T1 de un carcinoma de fibrolamelar en el lóbulo izquierdo del hígado.
ÒRM ponderada en T2 de un carcinoma de fibrolamelar en el lóbulo izquierdo del hígado, lo que demuestra una apariencia heterogénea, con una cicatriz central.
La ecografía, que es a menudo el estudio inicial realizado para el dolor abdominal en el cuadrante superior derecho, generalmente muestra un carcinoma fibrolamelar como un solitario, masa bien definida, con ecotextura variable. La sensibilidad de la ecografía para la detección de una cicatriz central es sólo 33-60% (en comparación con la TC y el análisis patológico), 43, 46 y cuando está presente se visualiza como una zona céntrica de hiperecogenicidad.

EXELENTE TRABAJO
ResponderEliminar